Tuesday, 13 September 2016

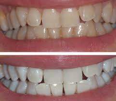
False teeth and teeth whitening services


Oral health is something that can be maintained nicely on the long haul, when you are likely to use the ideas from the experts without fall short. If and just if you are pleased in your life, celebrate complete sense to pass on the years, going through so many some other stresses on the routine foundation as age group moves on. It is usually personal concerns, or health problems of your own, or social or economic issues that you may really feel to be inevitable. Yet, the best part about the every day life is that you get several or other kind of recess to enjoy life among and remain happy in one method or the other to keep things proceeding.




Do not let in which happiness permit pass a person. Try to increase it a lot more by making certain you are taking care of your health nicely. When you are much healthier then you are pleased too, below most of the circumstances, even though when you are not articulating it more noticable. So, proceed to keep it being a regular practice to visit the actual dentist with no fail, from time to time to ensure your better dental health.



Oral hygiene can boost your confidence in lots of ways and make you enjoy life to the max by eating what you need and having what you want along with whenever you would want to do so, regardless of the age of your personal. It is not just which though. When you find yourself not able to talk with the others all around closely, simply because of the less oral hygiene which you maintain, and then that gets to be a stumbling block to your happiness and improvement in life by far. So, live contentedly and laugh brightly by selecting to enjoy living fully. Tooth braces and teeth whitening solutions can be of best assist for you in this way. Visit the center once in a while, as you can be able to get a finest job done from the Oral Surgical treatments and teeth whitening stalwarts.
Get more information through blanchiment des dents (Teeth Whitening).

No comments:

Post a Comment